心臓病検査
- HOME
- 心臓病検査
当院の心臓病の検査

- 聴診
- 心音図検査
- レントゲン検査
- 心エコー検査
- 6lead心電図検査
- 胸部誘導心電図検査
- ホルター心電図検査
- LP計測(ホルター)
- 血圧検査
- 心臓病理検査
- 甲状腺機能検査
- 心臓バイオマーカー
- 遺伝子検査
- 3D/4D心エコー検査
- 3D volume計測
- 11,12,18誘導心電図
- 心筋症DNAbank化
- 心臓組織RNA採材
- 組織電子顕微鏡検査

循環器専門病院との連携
東京動物心臓病センターの岩永先生(循環器認定医)を循環器科顧問に迎え、当院で診断が困難な症例や、手術適応の場合は、遠隔診断支援により、診断・治療の補助、手術施設の選定を実施しています。
心臓病の咳
拡張した左心房が気管支を圧迫して、咳が出ます。放置すると、肺水腫に移行します。
電子聴診器
犬の正常心音
犬の心雑音
犬のVPC(ARVC, DCM)
猫の正常心音
猫の心雑音
猫のギャロップ音
※閲覧する環境により再生されない可能性もあります。
スマホ・タブレットでは音が割れることがあります。
レントゲン検査

肺に水がたまり白くなる。咳が見られ、直ちに対処しないと死亡します。

胸腔に水が溜まり白くなり心臓の陰影が消失。開口呼吸や努力性呼吸が見られ、直ちに対処しないと死亡します。

ショックや脱水により、心臓が小さくなる症状。レントゲンは、心臓のサイズを調べるのには有用ですが、原因まではわからないことが多いので、下記の心臓エコー検査を実施します。

右大動脈弓遺残(猫)
右大動脈が退化せず残り食道を締め付け(青矢印)、その前部で食道が拡張する。幼犬猫の慢性嘔吐や、失神で気が付くことが多い。レントゲン写真で、青矢印の前部に拡張した白っぽい(バリウムです)食道が認められます。赤矢印は心臓。この手術は、胸部外科の石川先生に実施して頂きました(石川犬猫病院)。
3D/4D心エコー検査
4Dのvolume解析(犬)
ドーベルマンのオカルトDCM検査に応用可能か検討中
僧帽弁閉鎖不全症(犬)
犬に多い僧帽弁閉鎖不全症の3Dエコー。
MRI検査
三尖弁逆流(犬)
獣医領域では心臓MRI検査は非常に稀。当院では、上記の3Dエコー検査で、MRI検査で実施するVolume計測が可能になりました。
心臓エコー検査
① 先天性疾患の検査
左3心房心(犬)
右三心房心(犬)
動脈管開存+肺動脈狭窄後拡張(犬)

心房中隔欠損症(猫)
左前(上)大静脈遺残(犬)
② 弁膜症の検査
僧帽弁逆流(犬)
僧帽弁逸脱(犬)
三尖弁逆流(犬)
③ 心臓の血管の検査
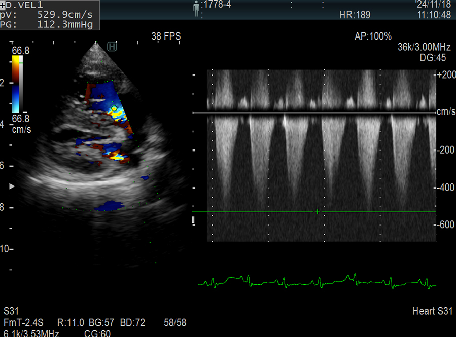
大動脈弁下狭窄(犬)
大動脈弁逆流(犬)
大動脈弁狭窄と逆流(犬)
フェレットの大動脈逆流
肺動脈弁狭窄と主肺動脈拡張(猫)
肺動脈弁逆流(犬)
④ 腫瘍の検査
脾臓肉腫の転移(犬)
肝臓からの転移性腫瘍(犬)
多中心型リンパ腫(犬)
⑤ フィラリア
フィアリア症(犬)
心臓に住み着くフィラリアの成虫です。下の動画は、血液中のフィラリア仔虫の顕微鏡動画です。
フィラリアの仔虫
これは、顕微鏡で見たフィラリア仔虫。上のエコー動画では、心臓に住み着くフィラリアの成虫が映ります。

⑥ 心筋症
拡張型心筋症(犬、グレートデン)
肥大型心筋症(猫)
⑦ 心タンポナーゼ
犬
⑧ 肺性高血圧



⑨ 不整脈時の心エコー
2段脈(犬、ボクサーARVC)
房室ブロック(猫)
VPC発生時の心エコー
⑩ 計測

左室系の検査(JAMA. 2003 Jan 8;289(2):194-202. より引用)
右室の検査


⑪ 冠血管

⑫ 胎児期の心臓
GE LogiQE10Xで検査。ボストンテリア出産近くの胎児の心臓。胎児期にしかない卵円孔が確認できる。
後躯麻痺

突然の後肢の麻痺。心筋症に伴う血栓が、腹部の大動脈につまり、血流がなくなり、片側、両側後肢を麻痺させる。高所からの落下で気が付くことも多い。
11誘導心電図検査

携帯型心電図検査
携帯型心電計による検査
携帯型デバイスとスマホを利用する。車内や、入院ケージ内での簡易測定も可能。
ホルター心電図検査
① クラウド型ホルター心電計
クラウド型ホルター心電計
最新式のホルター心電計。リード線がなく、データは、クラウドに保存されます。
② 通常のホルター心電計





ホルター心電計(通常タイプ)
馬のような大動物から、猫まで装着可能です。上記①のクラウド型は1種類の誘導で解析しますが、このホルターは2~3種類の誘導で解析します。
③ LP計測

甲状腺ホルモン検査
猫や、特にドーベルマンでは重要な検査です。
遺伝子検査
心臓突然死が多いボクサーやブルドックに関しては、バンク化をしています。

病理検査


通常の病理検査に加え、重要な所見の場合は、電子顕微鏡での検査も実施しています。
血圧測定

特に猫の場合は、血圧を測定して、高血圧による心肥大(慢性腎疾患の時に多い)と、原発性肥大型心筋症の区別をすることが重要。
心臓バイオマーカー検査(一部外注)
現在、ANP、Ntpro-BNP、トロポニンIの検査が可能ですが、バイオマーカーだけでは、病態の進行はわかりません。エコー検査等と併せて実施する必要があります。